
Фалькс-менингиома — симптомы, диагностика и методы лечения
Фалькс-менингиома — опухоль, которая развивается вдоль серповидного отростка мозга.
Обычно она растет медленно, но может сдавливать соседние отделы и вызывать симптомы.
Чаще болеют женщины среднего и пожилого возраста, особенно в периоды гормональных изменений.
Это важно, потому что ранняя диагностика увеличивает шансы на плановое лечение и меньшее повреждение функции мозга.
Представьте: вы заметили усиливающиеся головные боли и периодические судороги; иногда появилась слабость в ноге, и походка изменилась.
Первичные симптомы не всегда выраженные. Обратите внимание на новые или прогрессирующие головные боли, припадки, трудности при ходьбе или изменения памяти.
К врачу нужно идти при стойких или нарастающих симптомах. Обычный путь — невролог, неврологический осмотр и МРТ головы с контрастом.
При судорогах вам могут назначить противосудорожные препараты и направить к нейрохирургу для оценки необходимости операции.
Совет: не откладывайте обследование при новых симптомах — ранняя МРТ помогает выбрать наименее травматичное лечение.

Что такое фалькс-менингиома
Фалькс менингиома это опухоль, которая растёт вдоль серповидного отростка мозга. Точная локализация определяет, где именно будет воздействие и как спланировать операцию. Раннее обследование улучшает прогноз. Для оценки используют МРТ и ангиографию.
Если вам ставят такой диагноз, не паникуйте. Фалькс менингиома это нередко медленно растущая опухоль, но её положение может влиять на симптомы и выбор лечения.
Локализация и особенности опухоли
Опухоль чаще локализуется в срединной линии, вдоль фалькса, и может захватывать пристеночный синус. Это меняет подход к удалению и повышает риск кровотечения при операции.
Отличие от других видов менингиом
В отличие от краниальных или клиновидных менингиом, фальксовые тесно связаны с серповидным отростком. Они чаще дают локальные неврологические симптомы из‑за давления на кору и венозные структуры.
Совет: обсудите с нейрохирургом план обследования и оптимальный подход к лечению.
Причины и факторы риска
Знание причин помогает снизить риск и вовремя обратиться к врачу. Вы узнаете, какие генетические и внешние факторы повышают вероятность фалькс менингиома.
Генетические и наследственные факторы
Некоторые варианты генов и семейная история опухолей увеличивают предрасположенность. Мутации в сигнальных путях клеток могут способствовать аномальному росту оболочек мозга. Чаще действует сочетание нескольких генетических особенностей, а не один маркер.
Воздействие внешних факторов
Облучение головы в прошлом, гормональные колебания и хроническое воспаление рассматривают как факторы, повышающие риск. Курение и контакты с токсинами могут усиливать уязвимость, хотя прямая связь бывает неочевидна.
Оцените свой риск вместе с врачом. Расскажите о семейной истории и перенесённой терапии. Например, если у близкого родственника была фалькс менингиома, врач может предложить дополнительные обследования. Совет: обсудите генетическое консультирование и план наблюдения. Не откладывайте визит при любых настораживающих симптомах.
Симптомы и проявления заболевания
Ранняя диагностика помогает сохранить функции мозга. Менингиома фалькса симптомы часто появляются постепенно, в течение недель или месяцев. Обращайте внимание на новые или нарастающие изменения. Например: постоянная головная боль, которая меняет привычный характер.
Неврологические нарушения
Частые проявления — головные боли, судороги, очаговые неврологические нарушения. Могут возникать слабость, онемение, ухудшение зрения или сложности с равновесием. Судороги появляются из-за раздражения коры мозга. Головная боль часто локальная и стойкая.
Поведенческие и когнитивные изменения
Изменения в поведении бывают незаметны сначала. Пациенты жалуются на снижение внимания, замедленность мышления, проблемы с памятью. Меняются настроение и инициативность: появляется апатия или раздражительность. Такие симптомы особенно заметны у пожилых.
Как отличить симптомы менингиомы от других причин: обратите внимание на сочетание очаговых неврологических признаков и постепенное развитие. Обсудите с врачом, если заметили тревожные признаки. Типичные отличия:
- Прогресс в неделю/месяцы, а не пошаговые приступы.
- Наличие очаговых дефектов: слабость, нарушения поля зрения.
- При подозрении врач оценивает менингиома фалькса симптомы вместе с данными МРТ.
Не откладывайте обследование при настораживающих признаках.
Методы диагностики
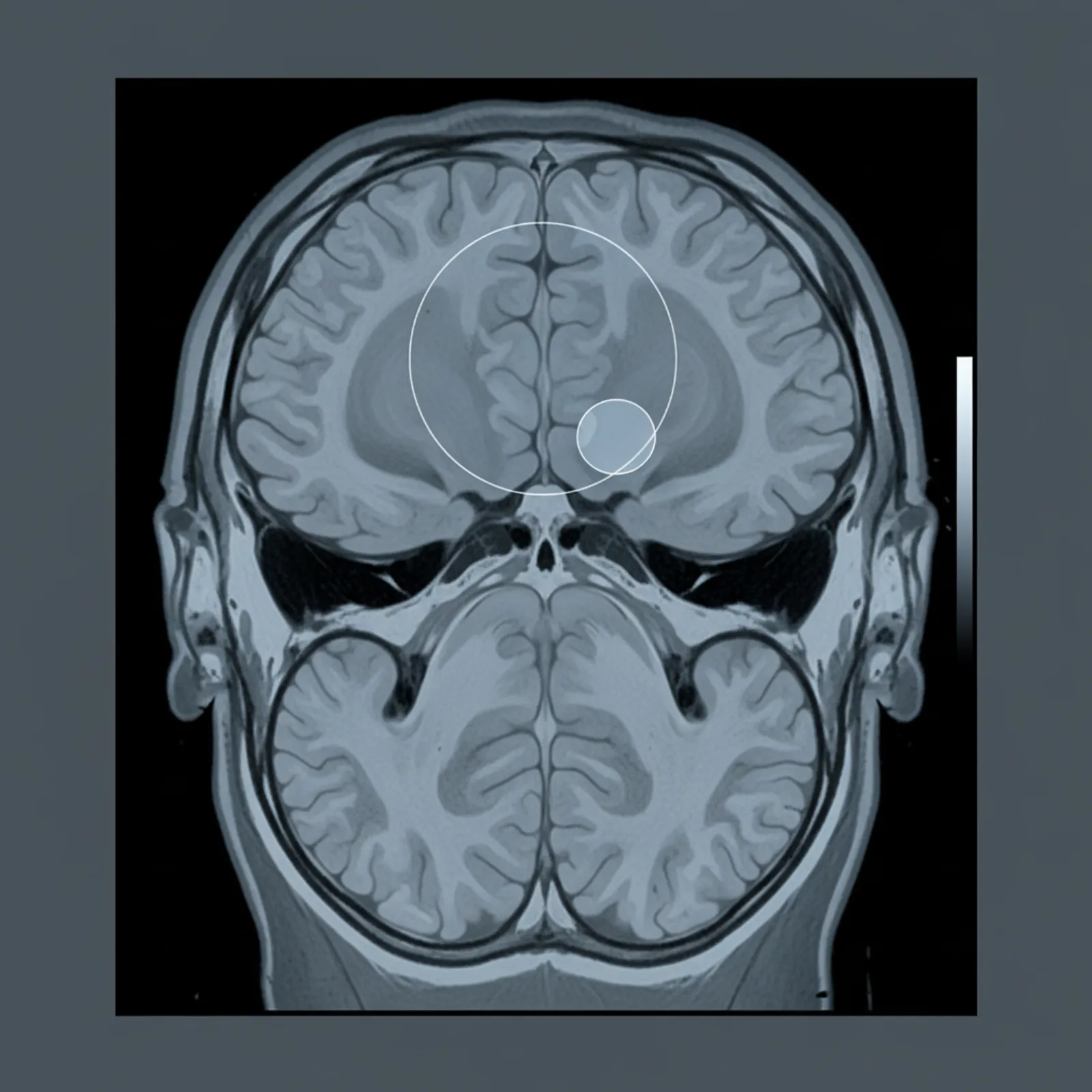
Точная визуализация помогает подобрать безопасный план лечения и снизить риски операции. МРТ остаётся предпочтительным методом при подозрении на фалькс менингиома мрт: он лучше показывает контакт с мозговыми структурами и отёк.
Далее — короткий сценарий обследования: вы приходите на прием, невролог собирает анамнез, направляет на МРТ, а при сомнениях — на КТ и дополнительные тесты.
Нейровизуализация: МРТ и КТ
МРТ выявляет размер, распространение и связь опухоли с сосудистыми структурами. КТ полезна при кальцинатах и для оценки кости. Если доступно, делаем контрастирование для уточнения границ. Повторю: фалькс менингиома мрт показывает зоны контраста и отёка.
| Метод | Что ищут | Кому полезно |
|---|---|---|
| МРТ с контрастом | Границы, отёк, периферический контраст | Пациентам с неврологическими симптомами |
| КТ | Кальцинаты, кость | При подозрении на костные изменения |
| Ангиография (при необходимости) | Сосудистая анатомия | Перед планированием резекции |
Биопсия и гистология
Биопсия редко первична. Её делают, когда изображение не позволяет отличить менингиому от других опухолей. Гистология определяет тип и прогноз. Риски включают кровотечение и неврологические осложнения.
- Показания к биопсии: неясная природа очага.
- Риски: кровотечение, инфицирование, дефицит функций.
Дополнительные исследования функций мозга
Функциональные тесты помогают сохранить важные зоны при операции. Чаще назначают картирование речи и моторики. Электроэнцефалография и нейропсихологическое тестирование дополняют картину.
- Картирование функции мозга (функциональная МРТ, интраоперационное картирование).
- Нейропсихологическое тестирование.
Совет: обсудите с нейрохирургом, какие тесты нужны именно вам и как результаты повлияют на выбор между наблюдением, резекцией и радиотерапией.

Современные методы лечения
фалькс менингиома лечение теперь понимают глубже: современные подходы уменьшают осложнения и помогают сохранить функции мозга.
Вы получите ясные рекомендации о показаниях к операции и о роле лучевой терапии. Короткие предложения. Обращаюсь к вам прямо; пример реабилитации поможет понять шаги.
Хирургическое удаление опухоли
Операция показана при росте опухоли или при нарастании неврологических симптомов. Задача хирурга — удалить как можно больше опухоли, сохранив сосуды и кору. Выбор доступа зависит от расположения и вовлечения синусов. Перед операцией проводят МРТ с контрастом и при необходимости ангиографию для оценки венозной анатомии.
- Показания: прогрессирующая симптоматика, компрессия структур, быстрый рост на МРТ.
- Методы: открытая краниотомия с микрохирургией; при ограниченном доступе применяют эндоскопию или комбинированные подходы.
Лучевая терапия и радиохирургия
Лучевая терапия контролирует остаточную опухоль после неполной резекции. Радиохирургия (гамма‑нож, кибер‑нож) эффективна при небольших или остатковых очагах. Планирует лечение радиотерапевт совместно с нейрохирургом и учитывают объём, близость к критическим структурам и возраст пациента.
Процедуры обычно без госпитализации при радиохирургии. Для фракционированной терапии требуется серия сеансов в клинике.
Медикаментозная поддержка
Препараты не удаляют опухоль, но снижают отёк, купируют судороги и облегчают восстановление. Часто назначают стероиды коротким курсом, диуретики при выраженном отёке и противосудорожные средства при эпилепсии. Лечение подбирают индивидуально.
Комплексные подходы к терапии
Часто применяют комбинацию операции и лучевой терапии. Важна координация нейрохирурга, радиотерапевта, невролога и реабилитолога. Решение базируется на возрасте, общем состоянии и предпочтениях пациента.
- Реабилитация: ранняя мобилизация, физиотерапия, логопед при речевых нарушениях, психологическая поддержка.
- Контроль: МРТ через 3–6 месяцев после лечения, затем ежегодно 2–5 лет; при изменениях — коррекция плана.
Пример реабилитации: через 7–10 дней после операции пациент начинает физиотерапию 30–60 минут в день; при слабости — упражнения на восстановление силы и координации; при проблемах речи — занятия с логопедом 2–3 раза в неделю в течение 2–4 месяцев. Родственники участвуют в домашней программе упражнений.
Если вы обсуждаете фалькс менингиома лечение с врачом, спросите о целях терапии, возможных рисках и о плане реабилитации. Совет: выбирайте центр с мультидисциплинарной командой и чётким планом наблюдения.

Прогноз и качество жизни
Понимание прогноза поможет вам принять взвешенное решение и подготовиться к восстановлению.
Менингиома фалькса обычно растет медленно, поэтому многие пациенты сохраняют качество жизни после лечения. Полное удаление снижает риск рецидива, но многое зависит от локализации опухоли и общего состояния здоровья.
Выживаемость и вероятность рецидива
Выживаемость чаще благоприятная при адекватном лечении и наблюдении. Рецидивы возможны, особенно при неполной резекции или при агрессивных вариантах опухоли. Оценка риска включает возраст пациента, размер опухоли и наличие сопутствующих заболеваний.
- Неполная резекция
- Атипичный или анапластический субтип
- Глубокая локализация или инвазивность в мозговые структуры
Восстановление функций организма
Реабилитация ускоряет возвращение навыков и независимости. Комплексная программа включает физиотерапию, логопедию и психологическую поддержку. Пример прогноза: при полной резекции и активной реабилитации многие пациенты отмечают значимое улучшение в течение месяцев.
Менингиома фалькса требует регулярного наблюдения. Обсудите с врачом индивидуальный план наблюдения и реабилитации. Начните восстановление как можно раньше.
Профилактика и наблюдение
После лечения важно регулярное наблюдение. Оно снижает риск рецидива и помогает вовремя заметить осложнения при фалькс менингиома головного мозга.
Поддерживайте связь с лечащей командой. Следуйте рекомендованному графику и не откладывайте при ухудшении самочувствия.
Регулярные обследования после лечения
Частота зависит от размера и радикальности удаления. Обычно контрольная МРТ через 3 месяца, затем через год, потом ежегодно несколько лет.
В программу входят неврологический осмотр и МРТ. По показаниям назначают КТ, анализы и консультации нейроонколога или радиотерапевта.
- Через 3 месяца — МРТ и неврологический осмотр.
- Через 12 месяцев — МРТ.
- Далее — ежегодная МРТ и осмотры; при жалобах — внеплановый приём.
Немедленно обращайтесь при внезапной сильной головной боли, судорогах, резком ухудшении зрения, слабости в конечностях или потере сознания.
Записывайте дату начала, интенсивность и то, что предшествовало. Делитесь записями с врачом. Фото или видео эпизодов помогают уточнить состояние.
Если что-то вызывает тревогу — звоните в клинику или вызывайте скорую. Держите карту наблюдения под рукой и не сомневайтесь обращаться.